
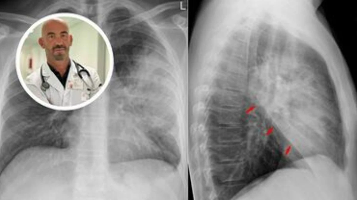
Matteo Bassetti, direttore delle Malattie infettive all’ospedale San Martino di Genova, ha recentemente lanciato un segnale chiaro: «I nostri ospedali sono già oggi pieni di casi di polmonite». Un’affermazione che risuona come un campanello d’allarme in un contesto in cui la pressione sugli ospedali italiani si fa sentire con largo anticipo rispetto alla stagione invernale. Ogni anno, secondo i dati ufficiali, i ricoveri per polmonite superano le 150.000 unità nel nostro Paese, con oltre 9.000 decessi legati direttamente a questa patologia respiratoria. Il trend rischia di aggravarsi con l’arrivo dei mesi più freddi.
Le previsioni degli esperti non sono incoraggianti: i dati provenienti dall’Australia, dove l’influenza stagionale ha già mostrato una crescita significativa, suggeriscono un’analoga ondata di infezioni anche in Italia. Bassetti sottolinea come la situazione attuale sia resa ancora più complessa dalla compresenza di vari virus respiratori, tra cui il virus influenzale e il virus respiratorio sinciziale (RSV), che stanno colpendo anche le fasce adulte della popolazione.
Negli ultimi giorni, la questione è tornata sotto i riflettori anche a causa di casi noti come la scomparsa del maestro Peppe Vessicchio, colpito da una forma interstiziale, e il ricovero dell’allenatore Vincenzo Italiano, fortunatamente non in condizioni gravi. Nonostante l’Italia registri uno dei tassi di mortalità più bassi d’Europa per polmonite, la situazione resta sotto costante osservazione da parte delle autorità sanitarie.
Leggi anche: “Andate a prendere i vostri figli”. Terremoto in Italia, chiusura scuole immediata: rischio alto di crolli

Cos’è la polmonite e quali sono i rischi principali
La polmonite rappresenta una delle principali cause di ricovero in Italia durante i mesi autunnali e invernali. Si tratta di un’infiammazione degli alveoli polmonari, le strutture responsabili dello scambio di ossigeno nei polmoni. Quando questi si riempiono di liquidi o pus, la funzione respiratoria viene compromessa, con sintomi che possono rapidamente peggiorare fino a richiedere cure intensive.
Le cause della polmonite sono molteplici: la forma più comune è quella batterica, spesso dovuta allo Streptococcus pneumoniae. Non mancano però i casi di polmonite virale, legata a virus influenzali o al virus respiratorio sinciziale, sempre più diffuso anche tra gli adulti. Raramente, la malattia può essere scatenata da infezioni fungine o dalla concomitanza di più agenti patogeni.
L’evoluzione della malattia dipende da vari fattori tra cui l’età del paziente, le condizioni di salute pregresse e la rapidità con cui viene posta una diagnosi. Particolarmente vulnerabili sono i bambini piccoli, gli anziani e le persone con difese immunitarie compromesse, che rischiano complicanze come l’insufficienza respiratoria o la sepsi.
Scopriamo tutti i dettagli nella pagina successiva