
Ogni storia di ictus inizia all’improvviso, come un interruttore che si spegne senza alcun preavviso. In quei momenti ogni secondo pesa come un macigno: il tempo è vita. Perché intervenire subito può significare la differenza tra tornare a muoversi, a parlare, ad abbracciare chi amiamo… oppure dover convivere con conseguenze pesanti e permanenti. Eppure nel nostro Paese sono ancora troppi a non conoscere i segnali semplici e immediati che permettono di salvare una vita o evitare danni irreversibili. Per questo la Giornata Mondiale dell’Ictus del 29 ottobre, promossa dalla World Stroke Organization insieme ad A.L.I.Ce. Italia Odv, rilancia un messaggio che non dovrebbe mai restare inascoltato: “Ogni minuto conta”.


Ictus: numeri che devono far riflettere
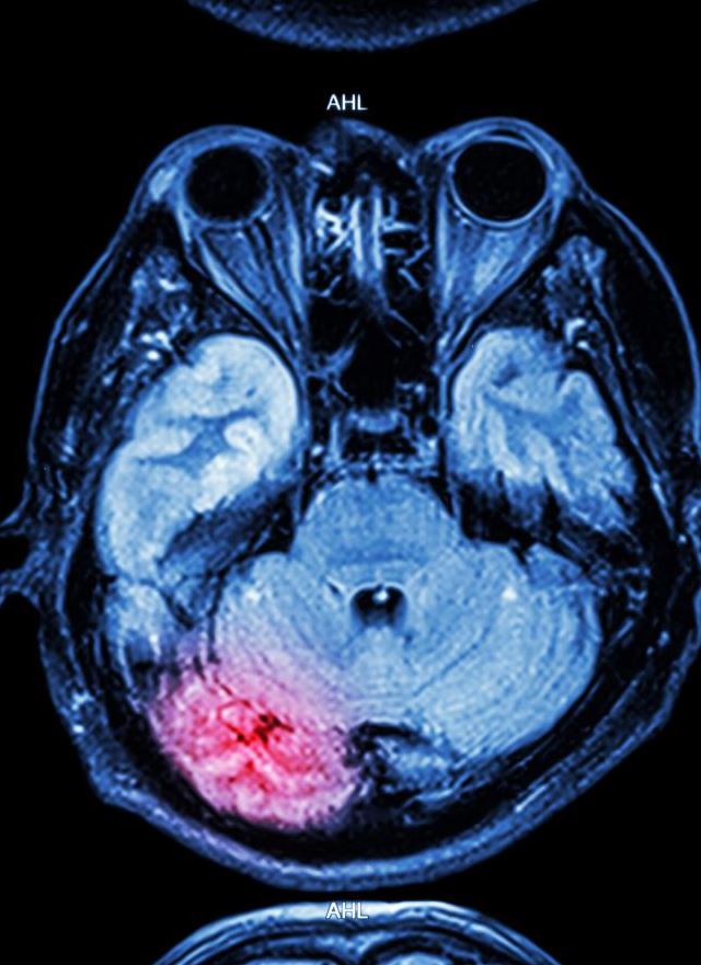
L’ictus si verifica quando il flusso sanguigno diretto a una parte del cervello viene interrotto: a causa dell’ostruzione di un’arteria (ictus ischemico) oppure per la rottura di un vaso (ictus emorragico). In Italia, ricorda Il Messaggero, si registrano tra 120.000 e 150.000 casi ogni anno, una cifra enorme che conferma quanto questa malattia sia purtroppo ancora una delle principali cause di morte e disabilità.
Chi sopravvive può trovarsi ad affrontare afasia, difficoltà motorie, perdita di autonomia e di ruolo nella vita quotidiana. Un quadro che peggiora minuto dopo minuto, se il trattamento non arriva tempestivamente.

Ictus: prevenzione e fattori di rischio
Molti ictus potrebbero essere evitati. Aumentano infatti le possibilità di incorrere in questa emergenza nei casi di:
- fumo di sigaretta
- pressione alta
- diabete
- ipercolesterolemia
- sovrappeso e obesità
- sedentarietà
Le innovazioni degli ultimi anni – trombolisi, trombectomia, aspirazione meccanica del trombo – e la presenza delle stroke unit (Unità Neurovascolari) hanno migliorato la prognosi. Ma funzionano davvero solo se si arriva in tempo.
Scopriamo tutti i dettagli nella pagina successiva