Diagnosi del meningioma: gli strumenti fondamentali
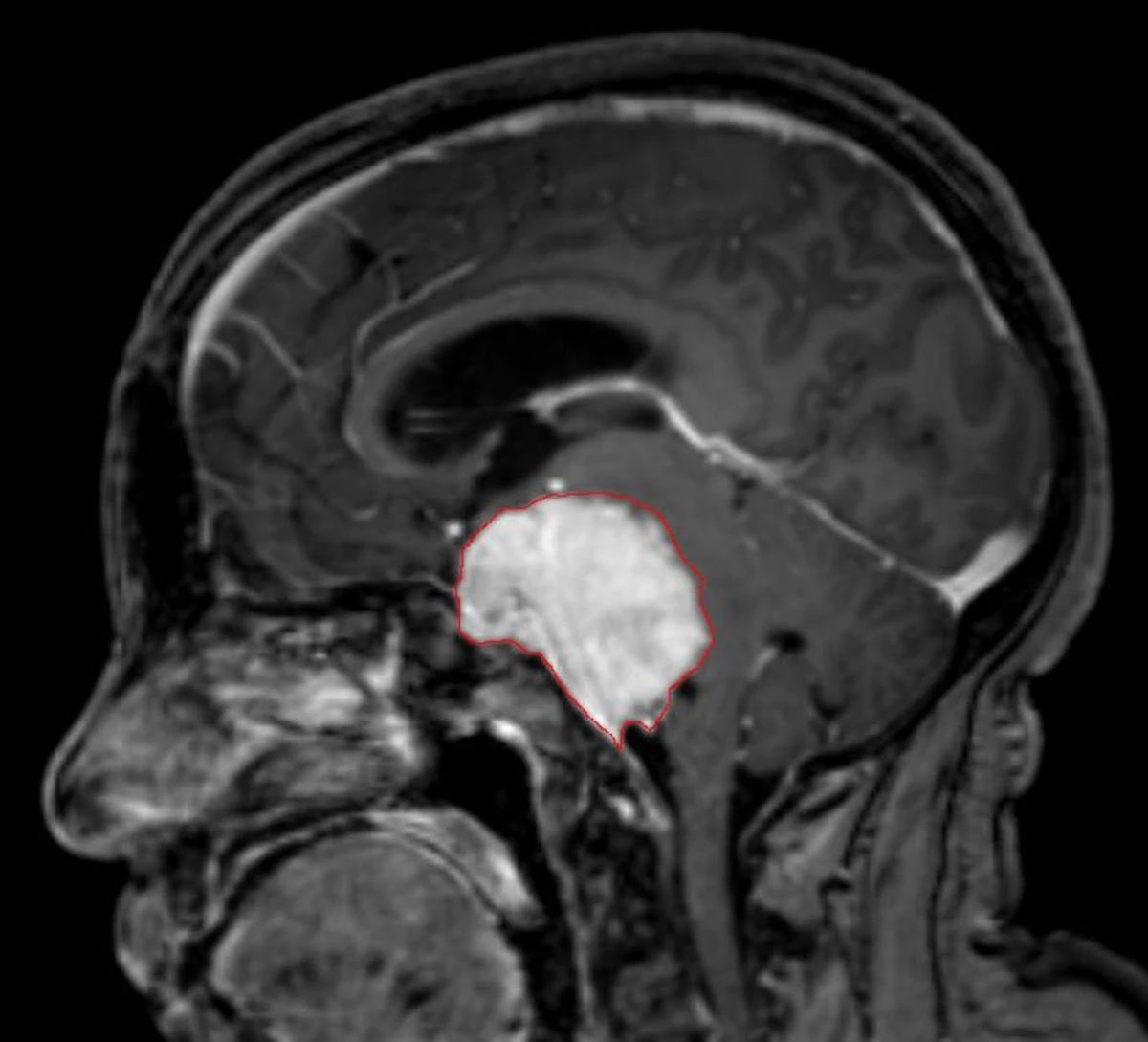
La diagnosi di meningioma si basa su esami di imaging, con particolare riferimento alla risonanza magnetica che consente di valutare le dimensioni, la posizione e le caratteristiche della lesione. In presenza di un tumore di piccole dimensioni e privo di sintomi evidenti, può essere indicato un monitoraggio periodico per verificare l’eventuale crescita. Nei casi in cui il meningioma provochi disturbi significativi o sia localizzato in aree critiche, il trattamento può prevedere un intervento chirurgico, eventualmente seguito da radioterapia se la rimozione completa non è possibile.
Leggi anche: Meteo Natale 2025, ecco che tempo ci aspetta per le feste: ci sono le proiezioni


Prognosi e percorso terapeutico
La prognosi dipende da diversi fattori: dimensioni, localizzazione e possibilità di rimozione totale. Le forme benigne e facilmente accessibili chirurgicamente offrono generalmente prospettive molto buone. I casi più complessi, invece, richiedono un approccio personalizzato e un follow-up continuo.
Qualsiasi sintomo persistente, inusuale o preoccupante richiede una valutazione professionale. Nessuna informazione generica può sostituire una diagnosi specialistica: solo un medico può indicare il percorso terapeutico adeguato.