
Nel silenzio dello stomaco può annidarsi un ospite insidioso, invisibile ma potenzialmente pericoloso. Si tratta di uno specifico batterio che colonizza la mucosa gastrica e accompagna milioni di persone nel mondo senza farsi notare. Nella maggior parte dei casi, l’infezione rimane silente, ma in alcuni individui può trasformarsi in un nemico silenzioso, capace di scatenare processi infiammatori cronici e, nei casi più gravi, lesioni precancerose. Il rischio non è immediato, ma cresce con il tempo, rendendo cruciale il riconoscimento tempestivo e la gestione corretta dell’infezione.

La gastrite cronica: il primo campanello d’allarme
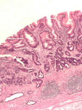
L’infiammazione gastrica rappresenta il primo segnale della presenza del batterio. Come spiega a Libero il Dott. Davide Moioli, specialista in chirurgia generale mini invasiva e bariatrica: “Il meccanismo principale attraverso il quale favorisce lo sviluppo del cancro gastrico è legato alla progressione istopatologica delle lesioni. L’infiammazione cronica indotta dal batterio altera l’equilibrio tra danno e rigenerazione della mucosa, favorendo mutazioni genetiche che portano allo sviluppo delle lesioni precancerose con una precisa sequenza: gastrite cronica, gastrite atrofica, metaplasia intestinale, displasia ed infine adenocarcinoma” .


Sintomi: quando prestare attenzione
Spesso l’infezione rimane del tutto asintomatica, passando inosservata per anni. Tuttavia, quando il batterio inizia ad aggredire la mucosa gastrica, possono comparire segnali che non vanno ignorati. Tra i sintomi più comuni si riscontrano bruciore o dolore allo stomaco, sensazione di pienezza precoce dopo i pasti, difficoltà di digestione e occasionali episodi di nausea. Alcuni pazienti possono avvertire gonfiore, eruttazioni frequenti o acidità persistente. Riconoscere questi segnali precocemente è fondamentale, perché permette di intervenire tempestivamente con diagnosi e trattamento mirato, riducendo il rischio di complicazioni più gravi come ulcere gastriche o lesioni precancerose.
Scopriamo tutti i dettagli nella pagina successiva